Samsung Z20 — флагманская ультразвуковая система экспертного класса, сочетающая революционные технологии визуализации и ИИ для максимальной точности и комфорта в работе. Автоматизирует измерения и повышает качество диагностики в акушерстве, гинекологии и других областях.
Основные преимущества
- Технология Crystal Architecture 2-го поколения с CrystalBeam для идеальной четкости изображений на любой глубине
- Более 30 автоматических фетометрических измерений LIVE без остановки сканирования
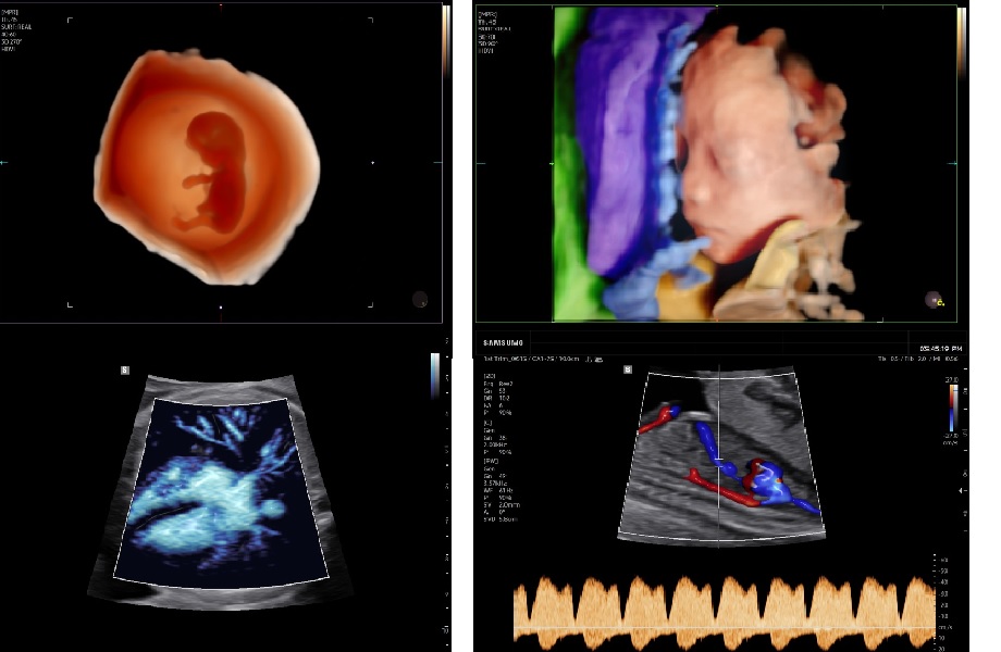
- Расширенные 3D/4D-режимы с AI-модулями для OB/GYN, MV-Flow и LumiFlow
- Эргономика премиум-класса: 27" OLED-монитор 4K, сенсорная панель и 4 порта датчиков

Автоматизация измерений:
Система самостоятельно проводит 46 измерений по 39 стандартным срезам, оценивая качество в реальном времени с помощью Live ViewAssist. Это ускоряет обследования и минимизирует ошибки.
3D/4D визуализация PortraitVue реконструирует реалистичное лицо плода из 3D-данных, создавая естественные черты для диагностики и фото для родителей.
Базовая комплектация:
- монитор 27";
- сенсорная панель управления 15,6";
- встроенный твердотельный SSD-накопитель;
- 4 активных порта для подключения датчиков;
- встроенные модули: цветного, энергетического, высокочувствительного направленного энергетического (S-Flow), импульсно-волнового допплера (PW), тканевого допплера (цветной и спектральный) и постоянно-волнового допплера (CW);
- цветной и анатомический М-режим;
- кардиологический пакет; тканевая гармоника, гармоника с фазовой инверсией S-Harmonic; третья гармоника, трапециевидное сканирование;
- автоматическая оптимизация Q-Scan и Live Q-Scan; A-Focus; ClearVision и MultiVision; Smart 4D+; HQ-Vision, HDVI; PortraitVUE; Biometry Assist; LumiFlow; Luminant; ShadowHDR; NeedleMate+; UterineContour; ViewAssist; HeartAssist (for fetus); IETA/IDEA;
- предустановленные и программируемые пользователем наборы параметров настройки 1-3 триместров беременности;
- программа управления данными пациентов - поиск, автоматическое и ручное составление протоколов и отчетов, форматирование отчетов с добавлением изображений, программы для расчетов в акушерстве, гинекологии, исследований сердечно-сосудистой системы плода, ангиологии, органов брюшной полости, щитовидной и молочной желез, суставов, тазобедреного сустава новорожденного;
- модуль DICOM;
- система архивации SonoView;
- подогреватель геля;
- руководство по эксплуатации на русском языке
Пакеты расчетов (измерения и отчеты)
- Гинекология. Измерение матки, яичников, фолликулов, эндометрия, кист, опухолей и сосудов малого таза. Поддерживается расчёт кровотока в маточных и яичниковых артериях, автоматическое определение объёмных образований и формирование отчётов по протоколам IETA и IDEA.
- Акушерство. Полный набор биометрии плода: GS, CRL, BPD, OFD, HC, AC, FL и другие параметры. Поддерживаются измерения длинных костей (Humerus, Ulna, Radius, Tibia, Fibula, Clavicula), мозговых структур (Cerebellum, OOD, IOD, большая цистерна, шейная складка, боковые желудочки, носовая кость). Включены расчёты AFI, допплерометрия артерий и вен плода, а также автоматическое определение веса по формулам Hadlock, Hansmann и Merz.
- Сердце плода. Автоматические измерения в B-, M- и спектральных режимах: размеры желудочков, толщина стенок, функциональные показатели и ЧСС. Система 5D Heart Color и HeartAssist™ определяет стандартные срезы и выполняет измерения в автоматическом режиме.
- Кардиология взрослых. Расчёты в B- и M-режимах: размеры полостей, масса миокарда, фракция выброса (Teichholz, Simpson). В допплер-режимах автоматическая трассировка спектра, определение скоростей, градиентов и времени фаз сердечного цикла. Поддерживаются модули AutoEF, Strain+ и Stress Echo для оценки сократимости и резервов ЛЖ.
- Сосудистые исследования. Автоматическая и ручная трассировка допплеровского спектра для сонных, брюшных и периферических сосудов. Вычисляются максимальная и средняя скорость кровотока, градиенты, площадь и диаметр просвета, толщина интима-медиа, объёмный поток. Включён пакет AutoIMT+ и Arterial Analysis 2D для оценки состояния сонных артерий.
- Урология. Расчёт объёма мочевого пузыря, остаточной мочи, объёма предстательной железы и почек (по трем осям или методу эллипсоида).








